歯を失ったら
入れ歯を入れる意味、
入れなかった場合の弊害
入れ歯を入れないで、歯がないままで長期間放置しておくと、反対側の歯が伸び出してきたり、隣の歯が傾いてきたりして歯並びが悪くなり、顎を動かすときの障害になるとともに、ものを粉砕する能力が低下し、消化管に負担がかかる。また、唇にしわができたり、顔貌が変わったりします。義歯を入れることにより、以上の弊害を取り除くとともに顎や筋肉、全身の健康維持に役立ちます。
部分入れ歯

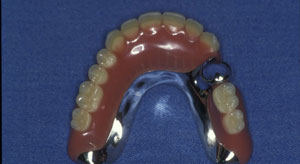
部分入れ歯は虫歯や歯槽膿漏、外傷などによって失われた歯や歯肉などの形態と機能を回復するために用いる取り外しできる装置です。部分入れ歯は会話や食事中に入れ歯が外れないように残っている歯にかけるバネ(クラスプ)と人工の歯(人工歯)、歯のない部分の粘膜の上に乗るピンク色の床(義歯床)などからできています


総入れ歯

入れ歯が割れた場合、プラスチックの部分は比較的容易に修理ができますが、金属の場合は預かって修理をする必要があります。再製作になる場合もあります。
入れ歯がガタついたり、外れたりする場合は、骨や粘膜が変化し、合いが悪くなっているので、裏打ちをして修理したり、新しく作り直す必要があります。合いの悪い入れ歯を使用していると粘膜を傷つけたり、不必要な骨の吸収を引き起こしたりするので、早めに治療を受ける必要があります。